歯列矯正 スレ
大人の歯列矯正 アラサーの大事な4年を捧げた歯並び改善 全部見せます Baila おしゃれ感度の高い30代に向けてファッション ビューティ ライフスタイル 結婚 恋愛等のリアルを届けるサイト
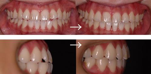
知りたい スピード治療 神宮前矯正歯科 矯正歯科ネット
虹プロ ミイヒの歯並び矯正を画像比較 デビュー確実だから治した 虹プロジェクト人気ランキング 歯並び 関係 出っ歯
正規品 Dental T4k 歯列矯正 器具 マウスピース オーラルケアの通販 By Market Monster Store ラクマ
歯列矯正治療前の検査 あごの動き 検査の流れ 歯列矯正の記録010 Youtube
大人の歯列矯正 アラサーの大事な4年を捧げた歯並び改善 全部見せます Baila おしゃれ感度の高い30代に向けてファッション ビューティ ライフスタイル 結婚 恋愛等のリアルを届けるサイト
歯列矯正した芸能人25選 成功準ランキング ビフォーアフター画像あり 最新版 Rank1 ランク1 人気ランキングまとめサイト 国内最大級
切端咬合 反対交合 受け口 しゃくれ 歯列矯正 大阪の矯正歯科ウメダデンタルクリニック
切端咬合 反対交合 受け口 しゃくれ 歯列矯正 大阪の矯正歯科ウメダデンタルクリニック
早い 安い 痛くない 部分矯正 歯科で美と健康を手に入れる 鈴木 達也 本 通販 Amazon
歯列矯正質問 相談トピ ガールズちゃんねる Girls Channel
虹プロ ミイヒの歯並び矯正を画像比較 デビュー確実だから治した 虹プロジェクト人気ランキング 歯並び 虹 Twice メンバー
失敗しない矯正治療 矯正したら上も下も出っ歯に Jso 日本歯科矯正専門医学会 矯正歯科 歯列矯正 専門医検索
歯列矯正に失敗した人いませんか ガールズちゃんねる Girls Channel
矯正中 口腔内写真
後戻りした場合の再矯正治療 医 精密審美会
𝙨𝙖𝙠𝙪𝙬𝙤 歯列矯正中 脂肪移植2次予定 面長の人向けメイクとコスメ
矯正始めてもう2年5か月 ローラんちauf Dem トンビ通り
歯科衛生士が伝えたい 安く済ませる歯列矯正 歯科衛生士だよ
僕が大人になってから100万円をかけて歯列矯正を始めた唯一の理由 もやしっ子 世に憚る
大人の歯列矯正 アラサーの大事な4年を捧げた歯並び改善 全部見せます Baila おしゃれ感度の高い30代に向けてファッション ビューティ ライフスタイル 結婚 恋愛等のリアルを届けるサイト
歯列矯正質問 相談トピ ガールズちゃんねる Girls Channel
アーカイブ 14年12月 営業職代ol 出っ歯なおします
矯正中 10年02月24日
Niziu ミイヒの歯並び矯正を画像比較 痩せた原因にも関係が 歯並び Twice メンバー 虹
大人の歯列矯正 アラサーの大事な4年を捧げた歯並び改善 全部見せます Baila おしゃれ感度の高い30代に向けてファッション ビューティ ライフスタイル 結婚 恋愛等のリアルを届けるサイト
前歯プチ矯正 尼崎市塚口 矯正歯科 にしうら歯科クリニック
市販の歯列矯正マウスピースを三年間使った Yuuの毎日記帳
天然歯を活かす スレ違い咬合矯正 横浜桜木町歯科
東京 亀戸矯正歯科 歯列矯正 亀戸矯正歯科診療所 矯正コラム 床矯正
歯列矯正 6年間 ひとまずゴールです O V ぶーたろうと車いす 楽天ブログ
歯列矯正した芸能人25選 成功準ランキング ビフォーアフター画像あり 最新版 Rank1 ランク1 人気ランキングまとめサイト 国内最大級
Dental Tv マウスピース矯正歯科医taka Youtube
13 号 歯列矯正シミュレーションプログラムおよび歯列矯正シミュレーション装置 Astamuse
矢吹奈子 Iz One 歯並び悪かった 歯列矯正前後の比較画像 韓国ドラマ大好き主婦のひとり言
歯列矯正 顎関節症に関するq A Yahoo 知恵袋
天然歯を活かす スレ違い咬合矯正 横浜桜木町歯科
切端咬合 反対交合 受け口 しゃくれ 歯列矯正 大阪の矯正歯科ウメダデンタルクリニック
神宮前矯正歯科 歯科矯正用アンカースクリューを用いた矯正 舌側矯正 歯科矯正用アンカースクリュー矯正など矯正治療なら
40代矯正 Instagram Posts Gramho Com
歯列矯正 日米の感覚のちがい 自由の女神になりたくて New York 理想と現実ライフ
歯列矯正 日米の感覚のちがい 自由の女神になりたくて New York 理想と現実ライフ
柾木玲弥 まさき れいや が未成年で喫煙 噂の真相と激変の歯列矯正画像
手術しないと治らないの ガミースマイルの治療法とは 矯正歯科ネット
年更新 歯科矯正で失敗しないために マウスピース矯正 インビザライン のはじめ方 完全版 ドクター海老沢が教える歯の話
大人の歯の矯正 ガールズちゃんねる Girls Channel
アーカイブ 14年12月 営業職代ol 出っ歯なおします
アイブレイス 見えない歯列矯正 をはじめよう 吉岡 宣史朗 本 通販 Amazon
抜かないの ホンマ矯正歯科
4番抜歯矯正をした際の顔立ちの変化について 川越で痛みが少ない歯医者 歯列矯正 小児歯科なら大東にし歯科医院
歯列矯正 上の抜歯 赤裸々 大人の歯列矯正ブログ
矯正歯科まとめ 矯正の痛みをやわらげる装置と自分でできる痛み対策3選
歯列 日本選手を良い歯並びに 2 矯正 無断転載禁止 C 2ch Net
目立たない歯列矯正なら 舌側矯正治療専門 渋谷矯正歯科
金川紗耶がかわいい 歯並び矯正や橋本奈々未の後継者との声も総まとめ Aidoly アイドリー ファン向けエンタメ情報まとめサイト
虹プロ ミイヒの歯並び矯正を画像比較 デビュー確実だから治した 虹プロジェクト人気ランキング 虹 歯並び 関係
大人の歯列矯正はツラいよ 歯列矯正を始めた大人 あるある35 器具に口紅がつく 麺類も寿司も強敵 など Pouch ポーチ
原田葵は小顔だけど歯がかわいくない 現在の身長も徹底調査 Aikru アイクル かわいい女の子の情報まとめサイト
成人矯正の値段 費用相場まとめ 矯正方法別にかかる合計金額はいくら 矯正歯科ナビ
大人の歯列矯正 アラサーの大事な4年を捧げた歯並び改善 全部見せます Baila おしゃれ感度の高い30代に向けてファッション ビューティ ライフスタイル 結婚 恋愛等のリアルを届けるサイト
歯並び葉の大きさ 閲覧注意です 大学生です 私は写真のように歯一つ一つが大きく 削ろう
マウスピース 歯ぎしり いびき 歯列矯正 空きっ歯 出っ歯 エラ張り 小顔効果の通販 By 雑貨屋さん 彡 ラクマ
90 Melhores Ideias De Miihi Em Preciso De Voce Reality Shows Novos Bebes
抜かずに治す 歯並び コンピュータを駆使した最新の歯列矯正 岸本 雅吉 本 通販 Amazon
歯列矯正 スレ
B 大人の歯列矯正 青ゴム装着からバンド装着まで約1ヶ月の道のり
歯列 日本選手を良い歯並びに 2 矯正 無断転載禁止 C 2ch Net
年更新 歯科矯正で失敗しないために マウスピース矯正 インビザライン のはじめ方 完全版 ドクター海老沢が教える歯の話
前歯プチ矯正 尼崎市塚口 矯正歯科 にしうら歯科クリニック
矯正中
歯列矯正の治療期間と早く終わらせるためにできること さっぽろ矯正歯科クリニック
天然歯を活かす スレ違い咬合矯正 横浜桜木町歯科
僕が大人になってから100万円をかけて歯列矯正を始めた唯一の理由 もやしっ子 世に憚る
マウスピース 歯ぎしり いびき 歯列矯正 空きっ歯 出っ歯 エラ張り 小顔効果の通販 By 雑貨屋さん 彡 ラクマ
歯列矯正のビフォーアフターが見たい ガールズちゃんねる Girls Channel
歯列矯正中の食事 ガールズちゃんねる Girls Channel
失敗しない矯正治療 矯正したら上も下も出っ歯に Jso 日本歯科矯正専門医学会 矯正歯科 歯列矯正 専門医検索
歯並びが綺麗なだけで得をする5つのメリットは何か
画像 ヤク中 槇原敬之 ボロボロ歯 の謎を追跡 前歯な 何と1本 2ch Music Stadium24
4番抜歯矯正をした際の顔立ちの変化について 川越で痛みが少ない歯医者 歯列矯正 小児歯科なら大東にし歯科医院
天然歯を活かす スレ違い咬合矯正 横浜桜木町歯科
マウスピース 歯ぎしり いびき 歯列矯正 空きっ歯 出っ歯 エラ張り 小顔効果の通販 By 雑貨屋さん 彡 ラクマ
大人の非抜歯矯正の仕組み
歯列矯正で顔も変わる ガールズちゃんねる Girls Channel
アイブレイス 見えない歯列矯正 をはじめよう 吉岡 宣史朗 本 通販 Amazon
34歳からの歯列矯正 ずっと悩んでいましたが ついに決断しました もっと早くにし
画像 ヤク中 槇原敬之 ボロボロ歯 の謎を追跡 前歯な 何と1本 2ch Music Stadium24
矯正について 歯並び 前歯だけ出っ歯 が悪いと 体に影響はありますか あと笑った顔とか
玉岡歯科医院 公式ホームページ 兵庫県三木市
年 姫路の矯正歯科 おすすめしたい8医院 身近でやさしい医療メディア
歯列矯正やマウスピース矯正で 噛み合わせ がメチャクチャ 物が噛めなくなる事例多発 Business Journal 赤かぶ
歯列矯正 新着ブロ画一覧 人気ブログランキング
天然歯を活かす スレ違い咬合矯正 横浜桜木町歯科
成人歯列矯正治療の領収証 歯列矯正 親知らず
僕が大人になってから100万円をかけて歯列矯正を始めた唯一の理由 もやしっ子 世に憚る
歯列矯正のせいなんかなぁ Fps Unknown
歯列矯正 まとめ 喪女の出っ歯を治すブログ
13 号 歯列矯正シミュレーションプログラムおよび歯列矯正シミュレーション装置 Astamuse
抜歯を最小限に 親知らずを生かす矯正 すれ違い咬合 医 精密審美会
歯の矯正が後戻り 高校生でやっと矯正器具を外したのに一年 Yahoo 知恵袋


